Kontexte und Inhaltsfelder der Jahrgangsstufe 10
Gene – Puzzle des Lebens
- Monohybrider Erbgang an ausgewählten Beispielen
- Neukombination von Merkmalen im dihybriden Erbgang
- Vererbung der Blutgruppen des Menschen
- Zellen vermehren sich durch Teilung
- Wir untersuchen typische Erbgänge und wenden die Mendelschen Regeln auf einfache Beispiele an.
- Wir erarbeiten uns die Umsetzung vom Gen zum Merkmal an einem Beispiel.
- Wir beschreiben die Chromosomen als Träger der genetischen Information.
- Wir vollziehen den Vorgang der Zellteilung (Mitose) nach und erklären deren Bedeutung.
Gene – Puzzle des Lebens
- Monohybrider Erbgang an ausgewählten Beispielen
- Neukombination von Merkmalen im dihybriden Erbgang
- Vererbung der Blutgruppen des Menschen
- Zellen vermehren sich durch Teilung
- Wir untersuchen typische Erbgänge und wenden die Mendelschen Regeln auf einfache Beispiele an.
- Wir erarbeiten uns die Umsetzung vom Gen zum Merkmal an einem Beispiel.
- Wir beschreiben die Chromosomen als Träger der genetischen Information.
- Wir vollziehen den Vorgang der Zellteilung (Mitose) nach und erklären deren Bedeutung.
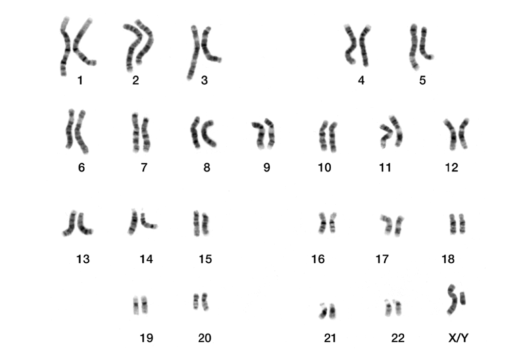
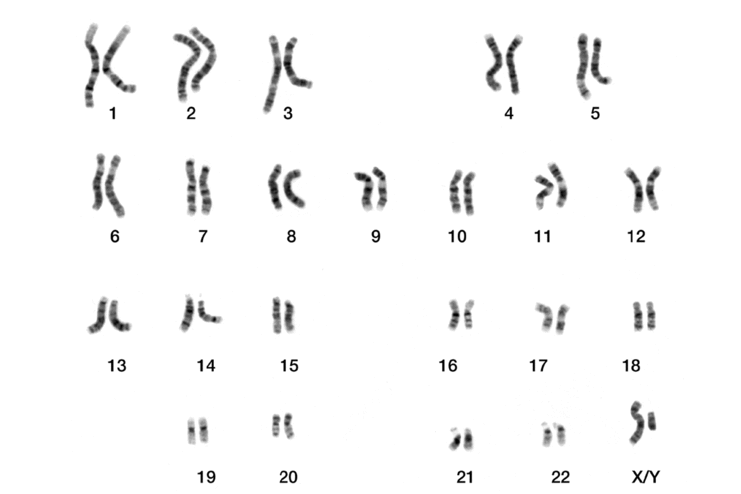
Genetische Familienberatung
- Bau der Chromosomen
- Karyogramm(e)
- Genotypische Geschlechtsbestimmung
- Genommutation am Beispiel des Down-Syndroms
- Wir erfahren Grundlagen über den Bau von Chromosomen.
- Wir werten Karyogramme aus.
- Wir untersuchen die genetischen Ursachen des Down-Syndroms.
- Wir recherchieren die Aufgaben von Familienberatungsstellen.
Genetische Familienberatung
- Bau der Chromosomen
- Karyogramm(e)
- Genotypische Geschlechtsbestimmung
- Genommutation am Beispiel des Down-Syndroms
- Wir erfahren Grundlagen über den Bau von Chromosomen.
- Wir werten Karyogramme aus.
- Wir untersuchen die genetischen Ursachen des Down-Syndroms.
- Wir recherchieren die Aufgaben von Familienberatungsstellen.

